Андрей Ладнюк
6
Андрей Ладнюк
0
subscribers
0
subscriptions
34.7K
views
Reviews
8
Photos
Dontiya
Mytischi • Dental clinic
Save
October 2025
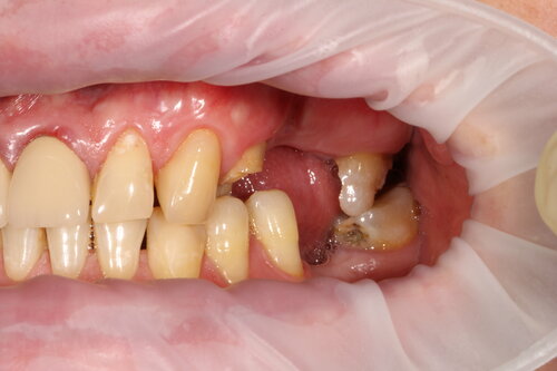
Обратился в клинику со сложным случаем. Отсутствовали практически все жевательные зубы. Коронки верхнего переднего ряда надо было менять. Меня проконсультировали сразу хирург, ортопед, терапевт. Сразу сделали снимок, составили подробный план лечения. Цены, за такую работу, по сравнению с другими клиниками, вполне приемлемы. После проведения операции по установке имплантов врач всегда был на связи, отвечал на все вопросы. Оперировал врач-хирург Гайк Варданович, спасибо ему большое. Так же спасибо врачу-терапевту Вере Фёдоровне и ортопеду Алексею Михайловичу. Профессионалы своего дела. В итоге, в течении 10 месяцев мне были полностью восстановлены все зубы.
Faberstroy
Mytischi • Maintenance of swimming pools
Save
October 2022
Это лучшая компания по обслуживанию бассейнов
CoolClever
Korolyov • Grocery
Save
May 2021
Очень большой и качественный ассортимент продуктов.
Sportlane.ru
Mytischi • Sports store
Save
May 2021
Очень большой ассортимент добавок и одыкватная стоимость.
Skazka. Eda i vino
Yaroslavl • Cafe
Save
September 2019
Очень вкусная еда и крутая обстановка.
Красный кит
Mytischi • Shopping mall
Save
July 2019
Можно найти все что угодно.
Sportivny tsentr Odissey
rabochiy posyolok Pogar • Swimming pool
Save
June 2019
Хороший бассейн
DDX Fitness
Mytischi • Fitness club
Save
June 2019
Очень светлый и крутой зал.